ФОП Щербінін А.О.
(096) 467-01-32
(073) 787-21-88
ФОП Познякова І.В.
(067) 778-07-18
(063) 445-24-26
м. Біла Церква, вул. Леваневського, 42
Карта проїзду

Імплантація

 

Сьогодні хірургічна стоматологія вирішує питання не тільки видалення зубів, котрі не підлягають лікуванню, а і відновлення функції та естетики зубного ряду. Встановлення зубних імплантів дозволяє замінити втрачений зуб або бути відновити функцію у пацієнтів з повною втратою зубів.

Зубні імпланти з титану приживаються у ротовій порожнині пацієнта із вірогідністю 98%. Технологія імплантації повністю змінилася за останні кілька років, і тепер вони пропонують міцність і пожиттєву гарантію.

 

 

Перед імплантацією пацієнт проходить повну діагностику ротової порожнини, оцінюється стан кісткової тканини, проводиться повна санація порожнини рота(професійна чистка, лікування карієсу, видалення нежиттєздатних зубів).

Імплантація зубів проводиться під знеболенням. Вид знеболювання обирає лікар разом із пацієнтом - це може бути введення анестетика або проведення седації. Встановлення імплантанта швидкий і безболісний процес. Протезування відбування через 3-6 місяців, в залежності від початкової клінічної картини. 

Іноді перед імплантацією необхідні додаткові  підготовчі процедури, такі як: синусліфтинг або направлена кісткова пластика, про це лікар Вам повідомить після детальної діагностики стану кісткової тканини .

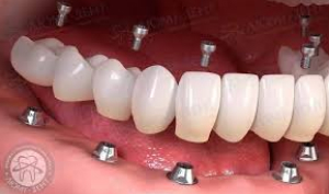
Імплантація вирішує проблему пацієнтів з повною адентією (повна втрата зубів). За допомогою постановки 4 або 6 імплантатів, можна повернути функцію і естетику повність беззубої щелепи за технологією «all on 4» або «all on 6». В нашій клініці ми використовуємо лише високоякісні системи імплантів, котрі дають надійний результат на довгі роки.

 
 
 
Швидке замовлення:
+380



Вхід на сайт:

запам'ятати мене
Відновлення пароля:
Інструкція по відновленню пароля
буде відправлена на пошту вказану
при реєстрації на сайті.
Реєстрація: